Cosmetic Dentistry Services Available
Cosmetic Dentistry
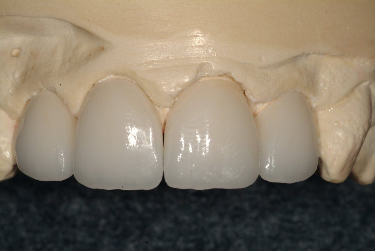
Crowns
Crowns go around teeth to “hold them together” Compared to fillings which just cover a small portion of a tooth, a crown encases the entire visible portion of a tooth. In effect, the crown acts as the tooth's new outer surface. The crown can provide a protective shell around the damaged or decayed tooth to strengthen it, as well as to improve the appearance of the tooth.
Why are crowns needed?
- When a tooth is more than 50% filling.
- Significantly decayed tooth.
- Broken teeth.
- Misshapen teeth.
- When a filling can’t repair the problem with a tooth.
- TO IMPROVE THE APPEARANCE OF A TOOTH
Many different materials are available to fabricate crowns, including:
- Gold
- Various other metals.
- Porcelain.
- Porcelain and metal.
- Zirconium.
Various materials are used for different reasons. Dr. Houston will advise you of the most appropriate material to accomplish your desired results.
How it's done:
At Palmetto Smiles, we like to use a two-visit technique to fabricate crowns. This gives Dr. Houston the results he is most comfortable with. At the first visit, the tooth is reshaped or prepared to support the crown. After preparation, a “True Definition Scanner” is used to make a streaming digital image of the tooth. This information is transmitted to a dental laboratory to fabricate the crown. A temporary crown is then placed. In approximately two to three weeks, the crown is ready to be inserted at the second appointment.
Dental Bridges
A bridge fills a gap created by a missing tooth or teeth. It consists of a false tooth supported by a crown in front of and behind it. A bridge is a “fixed” prosthesis. It is cemented or bonded into place and stays put.
Materials and techniques to fabricate a bridge are similar to those used for a crown. (See Dental Procedures, Crowns on the previous page)
Dental Veneers
Veneers are thin, custom-made shells that cover the front surface of your tooth to improve its appearance. They are made of tooth-colored porcelain and can be used to improve the color of teeth that have been worn down or stained. Alternatively, they can be used to improve the shape or size of the tooth. Veneers are very similar to crowns and can be used when conservative preparation is ideal.
Indications for Veneers:
- Stained or discolored teeth.
- Slightly crooked or misshapen teeth.
- Small spaces between teeth.
- Slightly broken or chipped teeth.
How it’s done: See Crowns.
Dental Bonding
Bonding is a restorative procedure in which tooth-colored resin is bonded to a tooth and cured with ultraviolet light. Bonding is faster and cheaper than veneers or crowns and can thus be an excellent option for minor cosmetic improvements. Unlike veneers and crowns, bonding can be done within one office visit since nothing has to be custom-made by a dental lab. Additionally, the procedure typically requires removing less tooth enamel than veneers and crowns. However, since bonding typically doesn’t last as long as other forms of restoration and is less resistant to stains, it is used more often for minor cosmetic touchups than significant restorations.
Dental Inlays and Onlays
Inlays and Onlays are a more conservative approach to tooth restoration than full crowns. They are used to repair rear teeth with mild to moderate tooth decay or for cracked teeth where the damage does not warrant a full crown. Porcelain, composite resin, and sometimes gold create inlays and Onlays. Inlays refer to those procedures where the bonded material is limited to the tooth's center. In contrast, onlays refer to those procedures where the bonded material can extend further to one or more cusps of the tooth.
Benefits:
- Natural look: With composite resin or porcelain. (Gold can also be used)
- Great fit:
- Longevity: Inlays and Onlays can last up to thirty years, longer than any other type of filling.
- Minimal tooth structure removed: Inlays and Onlays require the minimal removal of a tooth’s surface, helping to preserve the maximum amount of healthy tooth structure while restoring decayed or damaged areas.
How it’s done:
Inlays and Onlays are made in the lab, just like crowns. It takes two visits. The first is for preparation and impressions. The second is for insertion.

Dentures
Same-day dentures? NO WAY!
Here at Palmetto Smiles, we make dentures in at least five appointments. Each of these appointments is necessary for the type of attention to detail dentures demand. If extractions are necessary, months are taken to develop a final product.
Two types of dentures:
-Immediate dentures: Immediate dentures are placed when teeth are pulled, and dentures are inserted the same day. This is a complicated way to transition to dentures! Prostheses are placed on new extraction sites or “wounds,” which can be painful. It is also an excellent way to transition to dentures! The dentures serve as a guide for healing, and you don’t have to go without teeth. Usually, soft liners or “cushions” are placed in the dentures to make them as comfortable. Immediately after extractions, tissues swell significantly. Swelling peaks in three to five days, then slowly but starts to disappear. It takes two to three months to heal following dental extractions. During this time, the soft liners should be replaced often, and careful attention should be given to the bite. Once healing is sufficient, the immediate denture needs to be remade or relined to create the final product.
-Conventional dentures: “A pair and a spare” Ever wonder what would happen if you “lost your teeth” (dentures)? Believe it or not, it happens! It is wise always to be prepared for an alternative! The “pair and a spare” technique accounts for the possibility of lost dentures. When an initial set of dentures are made, the adjustments usually begin. Before they get “comfortable,” often the tissue surface is adjusted multiple times, and the bite is adjusted multiple times. These adjustments could leave the “brand new dentures” somewhat mutilated. When using the “pair and a spare” technique, an initial set of dentures is inserted with soft liners and/0r a functional impression material. While the soft liners are in place, all problems are worked out. When 100% comfort has been obtained, the initial set of dentures is reproduced as accurately as possible. Often the new set needs very little to no adjusting. The initial set is carefully stored in case of an emergency.
Common denture mistakes include:
- Teeth that are much too white. A light color tooth often signals the observer that the teeth are false. A very dark tooth looks incredibly real-but. It is ugly! It’s wise to split the difference and go for a tooth shade that is age-appropriate while still being closer to dazzling white than incredibly dark.
- Teeth that are much too straight. Slightly crooked teeth are very natural!
- Teeth that are much too small. Nobody wants “Bucky Beaver” or “Bugs Bunny” teeth. However, teeth that appear much too small for your face always look false. It is much easier to create a natural appearance with a slightly larger, as opposed to a slightly smaller tooth.
- Denture bases without enough “plastic.” A common complaint with new dentures is they feel “much too big.” However, the denture bases need to be a specific size and cover certain anatomical landmarks to be stable. Stability, in turn, leads to comfort. It is challenging, if not impossible, to be comfortable with teeth that continuously “flop” around. Appropriately extended denture bases are a must for comfortable dentures.
- Nose and chin too close together while biting. People who have no teeth and don’t wear prostheses often look like their face is “caved in” while biting. If dentures are present, and this appearance remains, this is a sign of an “over-closed vertical dimension of occlusion.” That means the nose and chin are too close together while biting. When this is the case, an appropriate force for chewing cannot be generated.
Many factors contribute to the success or failure of dentures. If you have questions not addressed in the above information, please get in touch!
Partial Dentures
Same day partials? NO WAY!
Attention to detail usually pays off in the fabrication of partial dentures! Today’s technology allows for the manufacture of partial dentures without unsightly wires in the anterior regions. This is accomplished by placing crowns on abutment teeth and placing attachments on the crowns. The attachments are in the form of “bars” or “buttons.” When the part is made, clips are placed in retentive grooves to engage the bars and buttons on crowns. The result is a part that snaps in place. This is called an attachment partial.
Advantages of attachment partials:
- They stay in better.
- No unsightly wires or clasps in the anterior region.
- Better fit with less movement. (Usually)
- Less post insertion pain and sore spots due to less movement. (Usually!)
Common partial denture mistakes include:
- Too much pressure on the teeth.
- Teeth that are much too white. A light color tooth often signals the observer that the teeth are false. A very dark tooth looks incredibly real-but. It isn't lovely! It’s wise to split the difference and go for a tooth shade that is age-appropriate while still being closer to dazzling white than incredibly dark.
- Teeth that are much too straight. Slightly crooked teeth are very natural!
- Teeth that are much too small. Nobody wants “Bucky Beaver” or “Bugs Bunny” teeth. However, teeth that appear much too small for your face always look false. It is much easier to create a natural appearance with a slightly larger than a slightly smaller tooth.
- Denture bases without enough “plastic.” A common complaint with new dentures is they feel “much too big.” However, the denture bases need to be a specific size and cover certain anatomical landmarks to be stable. Stability, in turn, leads to comfort. It is challenging, if not impossible, to be comfortable with teeth that continuously “flop” around. Appropriately extended denture bases are a must for comfortable dentures.
- Nose and chin too close together while biting. People who have no teeth and don’t wear prostheses often look like their face is “caved in” while biting.
If dentures are present, and this appearance remains, this is a sign of an “over-closed vertical dimension of occlusion.” That simply means the nose and chin are too close together while biting. When this is the case, an appropriate force for chewing cannot be generated.
Many factors contribute to the success or failure of partial dentures. If you have questions not addressed in the above information, please get in touch!
Dental Implants
What are dental implants? Dental implants are “anchors” placed in the bone to attach teeth. These anchors can be used to replace a single tooth, multiple missing teeth, or an entire arch of missing teeth. They can be used to anchor a crown, bridge, or partial or complete denture.
“Osseointegration” is one of the reasons dental implants are so successful. “Osseo” means bone, and “integrate” means to make whole. These two terms placed together refer to the functional contact between the bone and the implant. It is rock solid! This allows an implant to absorb as much force as a natural tooth in many areas.
Implants have changed completely what dentistry can offer to those who are missing a tooth or teeth!
In need of an experienced dentist? Book one by calling 864-439-3322.














